In office
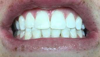
1 hour Bleach session (An assistant will use a material to trace around your teeth and block the gums from exposure of the bleach. A gel will be applied in office to your teeth and can be left for up to an hour. Teeth shade will be taken before the appointment and after to compare. Most patients see 1-2 shades brighter in one visit. Great for patients that need their teeth white quickly for events like Prom or Weddings. Some patients are more prone to sensitivity and may want to start with take home options first.
Before:
After:

Take Home:
Go Trays:
Available in 4 pack and10 pack
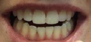
15% Trays are great for at home wear for 30 minutes to an hour. These can be used a few times a week or once a month as needed.
Results are after 1 tray use for 1 hour:
Before:

During:

After:

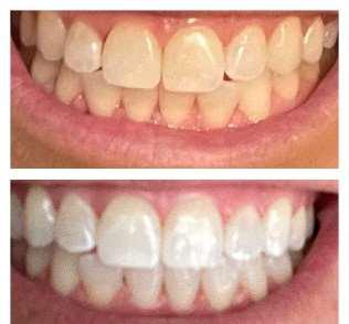
Results are from 35% bleach for 1 hour:

Custom Bleach Trays:
You will have impressions taken and custom trays can be made for your Upper and Lower arch. They will come with a 2-pack of bleach syringes to start your at home whitening process. Bleach comes in different strengths ranging from 10 %, 15%, 20%, to 35%.

Boil & Bite Whitening Kit:
Kit contains:
- 2 sets of upper and lower boil and bite trays -shade guide
- storage case
- 3- 9.5 % bleach syringes (9 uses each syringe)
Trays can be boiled and remolded up to 10 times.
Maintaining the white:

Whitening Toothpaste
Full Size and Travel Size are available, great for maintaining your shade after whitening, and is also available in Sensitive relief to help with symptoms after whitening.

Bleach pens
These pens are great to maintain your whitening results once you get to the white shade you like. (You may have to use more frequently if you drink dark drinks like coffee or sodas)
